Monday, 16 October 2017

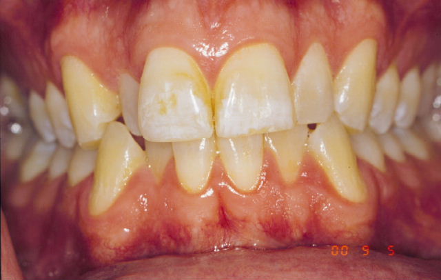
Directions How to make white spots on teeth less noticeable

Van Haywood | DMD | Am I a candidate for bleaching?

Van Haywood | DMD | Am I a candidate for bleaching?

how to get rid of white spots on teeth? | Yahoo Answers

How to get rid of white spots on teeth? | Yahoo Answers

South Haven Tribune - 7.25.16Pedaling across AmericaSouth

South Haven Tribune - 7.25.16Pedaling across AmericaSouth

Above is a images sample How to make white spots on teeth less noticeable

3 ways to make braces look less noticeable - wikihow, How to make braces look less noticeable. whether you're a kid, teenager or adult, there may come a time when you find you need to get braces. while the end result of. White spots on teeth - viechnicki orthodontics, White spots are marks on teeth that appear brighter and more opaque than the rest of the tooth. braces patients who get white spots on their teeth during orthodontic. What are these white spots on my teeth? - dental expressions, Dr. darren boles of dental expressions discusses different causes of white spots on the teeth and how to get rid of them..
Fluorosis: symptoms, causes, and treatments - webmd.com, Fluorosis is a cosmetic condition that affects the teeth. it̢۪s caused by overexposure to fluoride during the first eight years of life. this is the time when most.
How to whiten teeth naturally with turmeric - mommypotamus, Hi, i'm mommypotamus. my mission is to help you put delicious, healthy meals on the table, find effective natural remedies for common complaints, make your own fuss.
Tooth whitening - wikipedia, Teeth may be darkened by a buildup of surface stains (extrinsic staining), which hides the natural tooth color; or the tooth itself may discolor (intrinsic staining)..
This approach forums content and articles and additionally articles or reviews nearly How to make white spots on teeth less noticeable The proper spot i am going to present for your requirements Many user search How to make white spots on teeth less noticeable Can be found here Honestly I also like the same topic with you In this work the necessary concentration and knowledge How to make white spots on teeth less noticeable I hope this information is useful to you

No comments:

Post a Comment